Alinhadores Casos tratáveis Depoimentos Quem é o Doutor Agendar

OralClin Odontologia

Curitiba - PR

Transforme seu sorriso com quem é referência em Odontologia em Curitiba há 36 anos.

Aqui na OralClin trabalhamos com os alinhadores invisíveis duas principais tecnologias do mercado mundial — Invisalign e ClearCorrect. Discreção total, conforto real e resultados validados pela ciência odontológica.

Sorriso Perfeito OralClin

Por que escolher Invisalign?

O aparelho ortodôntico transparente que alinha seus dentes sem atrapalhar sua rotina.

Discreto e Transparente

Praticamente invisível, permitindo que você sorria com confiança durante todo o tratamento.

Resultados Rápidos

Tecnologia que permite tratamentos até 2x mais rápidos que os aparelhos convencionais.

Confortável e Removível

Sem fios ou metais machucando sua boca. Remova para comer e higienizar facilmente.

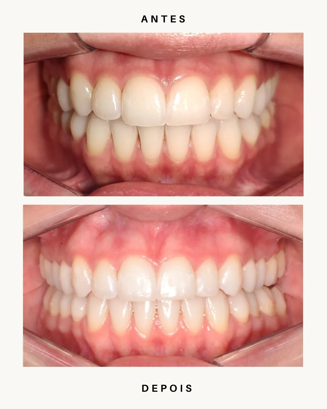
Resultados Invisalign OralClin

O Invisalign® é indicado para você?

O aparelho invisível é capaz de tratar desde casos simples até os mais complexos. Veja o que podemos corrigir:

Agendar Avaliação
Diastema

Diastema

Espaço extra entre os dentes.

Mordida Cruzada

Mordida Cruzada

Dentes superiores mordem por dentro dos inferiores.

Mordida Aberta

Mordida Aberta

Dentes não se tocam ao fechar a boca.

Apinhamento

Apinhamento

Falta de espaço para todos os dentes.

Espaçamento

Espaçamento

Dentes muito espaçados.

Prognatismo

Prognatismo

Mandíbula posicionada à frente.

Como Funciona seu Tratamento

O caminho para o seu novo sorriso é simples, rápido e totalmente digital.

1

Avaliação

Escaneamento digital do seu sorriso em 3D. Sem massinha, rápido e confortável.

2

Planejamento

Visualização do seu novo sorriso antes mesmo de começar. Tecnologia ClinCheck®.

3

Tratamento

Receba seus alinhadores personalizados e comece a transformação. Trocas em casa.

4

Novo Sorriso

Contenção para manter o resultado e sorrir com confiança para sempre.

Dr. Écio Soares

Quem é o Dr. Écio Soares?

  • Diretor clínico da OralClin
  • Ortodontista com 36 anos de experiência
  • Professor de pós-graduação em Ortodontia
  • Mais de 12.000 casos tratados

O que dizem nossos pacientes

A satisfação de quem já transformou seu sorriso na OralClin.

"Bons profissionais, lugar limpo e organizado! Recomendo fortemente."

EB

Elizabetw Bond

"Sou cliente há alguns anos, ótimo atendimento, pessoas simpáticas, ambiente agradável, excelentes profissionais."

SC

Sandra Cristo

"Gostei muito do consultório, estava super limpo e organizado. O dentista explicou tudo direitinho e o tratamento está sendo um sucesso!"

FR

Fabiele Rocha